Katherine didn’t fight this battle alone. She was helped greatly by the Patient Advocates at Mesothelioma Lawyer Center. They helped her obtain financial compensation through special trust funds the government has set aside for cancer victims like Katherine. This compensation helped with her treatments and quality of life.
A Hopeful Cancer Story
10 Friday Mar 2017
Posted in Uncategorized
As a writer, mammographer, and nine year breast cancer survivor, I support cancer research and celebrate survival stories. Today, I’m celebrating Katherine Keys’ story. Katherine is a nine year Mesothelioma cancer survivor, and this is her story.
A Hopeful Cancer Story
Most stories about this aggressive type of cancer are anything but hopeful. But Katherine Key’s story is much different. When she was diagnosed with mesothelioma, an aggressive form of cancer, she was given no more than two years to live. Today, nearly ten years later, she is thriving. It is hard to decide to fight against such terrible odds, but Katherine credits that fighting spirit, her hope, and of course the care from her medical team with saving her life.
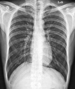
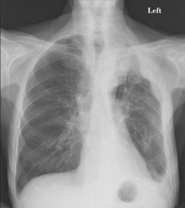
When Katherine first started to feel sick, she thought she had the flu or some other type of respiratory infection. She had a cough, trouble breathing, and chest pains. This is part of what makes mesothelioma so insidious. This is a cancer that attacks the lining of tissue around the lungs. It is most often caused by exposure to asbestos, but it does not develop into symptoms until decades after the exposure occurs.
In the meantime, people like Katherine have no idea that they are getting sick. When they do start to experience symptoms, they are often diagnosed as having an infection, pneumonia, or even lung cancer. Luckily for Katherine, although she was not diagnosed correctly right away, she still received her diagnosis when the cancer was in an early stage. Others are not so lucky and do not get an accurate diagnosis until much later.
Even though Katherine was diagnosed with stage I, or early stage, mesothelioma, her prognosis was still not good. Most people do not survive this cancer, even when treated in the early stages. Her doctors gave her an estimate of about two years if she was lucky. She was only 49 and not willing to accept those odds.
Katherine opted for the most aggressive and riskiest treatment option, but also the one most likely to cure her cancer. As optimistic as ever, Katherine underwent an extrapleural pneumonectomy. Her surgeon removed the tissue called the pleura, in which the cancer originated, her entire right lung, and part of her diaphragm. She followed up this major and risky surgery with months of radiation treatment to try to kill every last cancer cell.
Hope and Recovery
After several months of treatment and recovery from treatment—and adjusting to life with just one lung—Katherine returned to her doctors for regular checkups. After a few months, then six months, and finally a year, Katherine still had no signs of cancer in her. She had achieved remission—an accomplishment that is so rare for anyone with mesothelioma.
Today Katherine is alive and well nearly ten years after her doctors gave her only two years to live. She credits her own relentlessly positive attitude and willingness to fight instead of backing down in the face of terrible odds with her survival and long years of remission. She enjoys life to the fullest now, knowing she beat such a difficult cancer. Katherine knows how lucky she is and, while she has some physical limitations because of the surgery, she loves life and most of all relishes the time she still has with her family.



